NOTÍCIAS IMPLACIL
USO DE IMPLANTES SLIM E ENXERTO DE TECIDO CONJUNTIVO PROVENIENTE DO TÚBER
POR PROF. DR. MÁRCIO DE CARVALHO FORMIGA | 09 DE OUTUBRO DE 2018
Na implantodontia moderna, onde nos preocupamos muito com resultados estéticos, encontramos muitos casos onde existe a disponibilidade óssea para a instalação de implantes sem nenhum procedimento de aumento de tecido duro para tal finalidade, porém com necessidade de algum aumento de rebordo via manipulação de tecidos moles com o objetivo de melhorar o contorno do rebordo e otimizar o resultado estético e funcional a longo prazo.
Muito utilizado como área doadora de tecido conjuntivo, o palato tem como desvantagem o grande desconforto pós operatório. Uma área alternativa seria a região de túber, onde frequentemente encontramos disponibilidade de tecido de igual qualidade, e com possibilidade de maior espessura no enxerto.
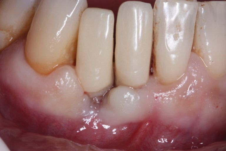
Vamos aqui mostrar um caso de grande reabsorção óssea devido problemas periodontais, que levou à exodontia dos elementos 41 e 42 com instalação imediata de dois implantes Slim de 2,5x12mm( Figura 1), com provisionalização imediata, devido pouco espaço mésio-distal que a paciente tinha, sendo esta uma das indicações deste implante. Após 4 meses a paciente retornou para reavaliarmos o resultado obtido e planejar as coroas cerâmicas. Notamos então grande perda do volume vestíbulo-lingual e recessão na região do 42( Figura 2 e 3), que já existia previamente ao procedimento cirúrgico. Programamos antes da confecção das coroas metalocerâmicas melhorar o volume vestibular e qualidade da mucosa peri-implantar com um enxerto de tecido conjuntivo proveniente da região da túber direita, onde avaliamos ter maior disponibilidade de tecido que do palato, além de ser mais bem aceito pela paciente com oárea doadora( Figuras 4,5 e 6).
Podemos notar uma grande melhora na condição peri-implantar ainda com 28 dias pós enxertia, com um volume bastante similar ao lado dentado da paciente, e um resultado que agradou muito a paciente( Figura 7).








